Cosmetic dental treatments
We offer comprehensive dental care both under the NHS and privately but some services are exclusively private such as: Orthodontics, Dental Implants, Cosmetic work and oral surgery by an oral surgeon.
Click here for general treatments »
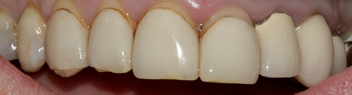
Porcelain Veneers
A veneer is a thin layer of porcelain made to fit over the front surface of a tooth to give cosmetic appearance to a compromised tooth. Composite, porcelain and zirconia materials are used to make veneers. Veneers can improve the colour, shape and position of teeth. A precise shade is chosen to give the right colour.
Before
After
Inlays & Onlays
Inlays and Onlays are custom made restoration by lab which are used either as fillings (Inlays) or coverage of supra structure (Onlay) of the tooth. These are excellent restorations for moderate damage of the tooth but for more serious damage tooth is restored with corwn.
Materials
Following materials are used for Inlays and Onlays:
- Composite resin
- Porcelain
- Gold
Gold is an excellent material but due to cosmetic implications the use of gold in dentistry is gradually vanishing. Porcelain (Ceramic) restorations are extremely popular and very commonly used due to their high aesthetic value. Some old discolored or black restorations are also replaced with ceramic material to improve cosmetics.
Fitting
Inlays and Onlays are bonded with tooth structure with resin materials which not only provide strong bonding but has supporting property for the tooth structure. Their performance is excellent.
Longevity
Normally Inlays and Onlays last for very long time but following factors influence their longevity:
- Existing tooth structure
- Cavity design
- Functional loading
- Type of material used
- Parafunctional habits (such as grinding habit)
Teeth Whitening
This is a procedure of making the colour of teeth lighter with professional whitening products. This is very conservative approach to try making teeth go lighter. Every individual responds differently but generally teeth go 4-5 shades lighter is product used correctly. Teeth can go temporarily sensitive. Click here for more information on teeth whitening.
Smile Makeovers
Smile is our social presentation which creates a lasting impression in day to day life on people surrounding you. Smile makeover is the dental procedure which helps patients regain their beautiful smile either by performing some simple dental procedures or by some complex dental work such as braces/crowns/veneer/implants.
Smile makeover becomes essential when someone feels embarrassed about his/her smile due to discoloration/broken teeth/mis-alignment/gaps between teeth/abnormal shape or size of teeth.
Smile makeover requires initial consultation where dentist will assess the general condition of teeth and provide the comprehensive written treatment plan with estimated costing.
The smile makeover provides the smile you deserve. This boosts confidence to present socially and changes the life of an individual.
First step towards this life changing treatment is to book an appointment for detailed consultation.
Tooth Recontouring
This is the process where tooth shape is altered by very precise and selective grinding of enamel to improve the cosmetic look and smile.
This is very popular technique because its done immediately and results are instant. Procedure is completely pain free.
Dentist assesses the tooth and amount of enamel present and then advises patient about the suitability for the procedure as over grinding can cause exposure if the dentine leading to tooth sensitivity.
This is a very simple and cost effective cosmetic procedure which gives excellent results within few minutes.
